-
DEEP-Learning-Rekonstruktion in der Neuroradiologie (Webinar | Online)
Professor Dr. med. Marc Brockmann WEITERENTWICKLUNGEN VON KOPF BIS FUSS BEIM VC Oberstarzt Dr. med. Stephan Waldeck DEEP-LEARNING-REKONSTRUKTION IN DER NEURORADIOLOGIE Die CT ist ein essentielles Routine-Verfahren in der Neuroradiologie. Bei steigender Bildqualität konnte die Röntgendosis mit neuen Technologien in der letzten Dekade deutlich gesenkt werden, was für die zielgerichtete und möglichst schonende Behandlung von Patienten von großer Bedeutung ist. Mit der Deep-Learning-Rekonstruktion steht ein neues Verfahren zur Verfügung, welches die Befunderhebung noch einmal deutlich verbessert. Technische Hintergründe und klinische Anwendungen im Rahmen der Neuroradiologie werden vorgestellt und diskutiert. WEITERENTWICKLUNGEN VON KOPF BIS FUSS BEIM VC Die Computertomographie ist ein wichtiges bildgebendes Verfahren für die Diagnostik und Therapie von Krankheiten…
-
HNO & Radiologie: gemeinsam durch die NNH – ein Joint Venture (Webinar | Online)
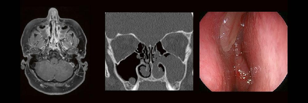
Dr. med. André ReisbergDr. med Sebastian Plößl Die bildgebende HNO-Diagnostik macht es Anfängern nicht leicht. Die Anatomie ist komplex und weniger intuitiv als in anderen Körperregionen. Normvarianten erschweren insbesondere in den Nasennebenhöhlen den Lernprozess. Sobald pathophysiologische Zusammenhänge verstanden und wichtige klinische Aspekte verinnerlicht wurden, gelingt es einen praxistauglichen, belastbaren Befund zu erstellen. Wo muss ich eigentlich hinschauen? Was will der Kliniker von mir wissen und warum? Begleiten Sie uns auf einer kooperativen Reise durch die NNH mit „Ach so!“-Garantie: Gemeinsam mit einem HNO-Chirurgen werfen wir einen Blick IN die NNH – mal in grau, mal in Farbe. Denn alles fällt leichter, sobald man verstanden hat, warum man es tut. KOSTENFREIDie Teilnahme am RADCAMPUS ist…
-
Dual-Energy CT der Wirbelsäule: Technik und klinische Praxis (Webinar | Online)
Professor Dr. med. Matthias PumbergerPD Dr. med. Torsten Diekhoff Die Dual-Energy-Computertomographie (DECT) hat für viele klinische Anwendungen bereits Einzug in die Praxis genommen. Für die Behandlung von Wirbelsäulenerkrankungen sind besonders die Darstellung von Knochenmarkveränderungen (z. B. bei osteoporotischen Frakturen) und der Bandscheibe (z. B. bei Bandscheibenvorfällen) interessant und werden intensiv beforscht. Hierdurch versprechen wir uns eine schnellere Therapie für unsere Patienten, weil viele Befund bereits in der CT erhoben werden können, die zuvor nur mit MRT sinnvoll abgebildet werden konnten. Darüber hinaus erhoffen wir uns wertvolle Zusatzinformationen bei degenerativen, traumatischen und entzündlichen Erkrankungen des Achsenskeletts. In zwei kurzen Übersichtsvorträgen werden die Referenten einen Überblick über die Technik und klinische Anwendung…
-
Outside the box-Vortrag: die Neuroradiologie der Moral (Webinar | Online)
Professor Dr. med. Michael Knauth Das Treffen moralischer Entscheidungen erfordert – wie jede andere Hirnleistung auch – das Zusammenwirken verschiedener Hirnareale. Der Vortrag nimmt auf eine interaktive Reise durch die Mehrzügeligkeit moralischer Entscheidungen (emotional vs. utilitaristisch) und gängiger moralischer Dilemmata (Trolley-Problem) und führt schließlich zu den mit dem Treffen dieser Entscheidungen befassten Hirnregionen und zu den Auswirkungen auf moralische Entscheidungen bei Schädigung dieser Hirnareale. NEURORADIOLOGY DIAGNOSTIC CHALLENGE Professor Dr. med. Ahmed Othman Schwierige Fälle lösen und daraus lernen – Das ist der Reiz der Radiologie! In der Neuroradiology Diagnostic Challenge lösen wir gemeinsam spannende und besonders lehrreiche Fälle aus der Neuroradiologie. Ziel: Mit jedem Fall ein wenig besser werden und…
-
MR-Spektroskopie: Hintergründe und Anwendung im klinischen Alltag – Teil 2 (Webinar | Online)
Dr. med. Urspeter Knecht Die MR-Spektroskopie – eine oft unterschätze Untersuchungsmethode – kann im Rahmen eines molekularen Fingerprints ein Game Changer sein in der neuroradiologischen Bildgebung. Eine Zusammenstellung von Hintergründen, Pitfalls, Aha-Erlebnissen, Nutzen und Risiken – Teil 2 Eventdatum: Mittwoch, 22. November 2023 17:00 – 18:00 Eventort: Online Firmenkontakt und Herausgeber der Eventbeschreibung: Canon Medical Systems GmbHHansemannstr. 6741468 NeussTelefon: +49 (2131) 1809-0Telefax: +49 (2131) 1809-139http://de.medical.canon Weiterführende Links Zum Event Originalinserat von Canon Medical Systems GmbH Alle Events von Canon Medical Systems GmbH Für das oben stehende Event ist allein der jeweils angegebene Herausgeber (siehe Firmenkontakt oben) verantwortlich. Dieser ist in der Regel auch Urheber der Eventbeschreibung, sowie der angehängten Bild-,…
-
Bildnachverarbeitung in der CT (Webinar | Online)
Alex Riemer Moderne CT-Scanner unterstützen die Anwenderinnen und Anwender bei der Durchführung der meisten CT-Untersuchungen. Hierzu zählt auch das automatische Erstellen von streng coronalen und sagittalen Multiplanaren Reformatierungen (MPR´s). Es gibt jedoch CT-Untersuchungen, bei denen die MPR´s individuell an die Anatomie angepasst werden müssen. Doch gerade bei diesen Bildnachverarbeitungen gibt es oft Unsicherheiten darüber, worauf es ankommt und wie sie korrekt angefertigt werden. Darüber hinaus werden die unterschiedlichen MPR-Techniken wie z. B. Maximum Intensitäts- Projektionen (MaxIP´s) und minimum Intensitäts Projektionen (minIP´s) oft nicht routinemäßig angewendet. Dabei können verschiedene Pathologien durch den zielgerichteten Einsatz der unterschiedlichen MPR-Techniken oft viel einfacher und besser diagnostiziert werden. In diesem Vortrag lernen Sie die unterschiedlichen…
-
Thermoablation von Nierentumoren (Webinar | Online)
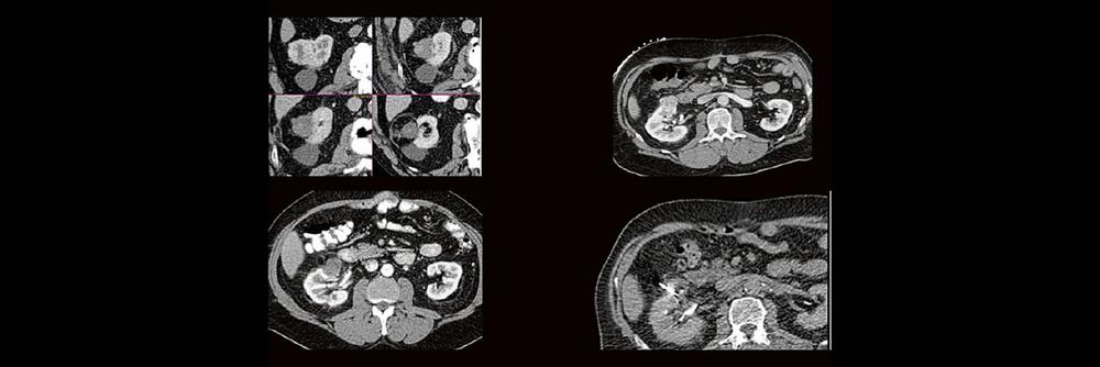
Dr. med. Sascha Alexander Pietruschka Die Anwendung von ablativen Verfahren hat sich in der klinischen Praxis etabliert. Nierentumoren bieten sich für den Einsatz von RFA und Mikrowelle an. Im Dietrich Bonhoeffer Klinikum Neubrandenburg blicken wir auf 15 Jahre Erfahrung mit mehr als 100 RFA/Mikrowellenablationen von Nierentumoren zurück. Im Vortrag werden die eigenen Erfahrungen und Ergebnisse vorgestellt. Dabei wird auf die Indikationsstellung, Vorbereitung, Durchführung, Nachuntersuchungsintervall, Komplikationen und Erfolgsrate eingegangen. ENDLICH ERKANNT – PRAXISRELEVANTE CT ANATOMIE DES ABDOMEN Professor Dr. med. Johannes Weßling Back to the roots! Gute Kenntnisse der Anatomie sind der Schlüssel zur guten Planung, Durchführung und richtigen Diagnosestellung im CT des Abdomens. Lernen sie unverkrampft schnelle Orientierungspunkte für den…
-
Klinische Vorteile eines Software Upgrade mit künstlicher Intelligenz aus Sicht der MTR (Webinar | Online)
Jan Hendrik Falkenstein Künstliche Intelligenz spielt in der klinischen Anwendung eine immer größer werdende Rolle. Im radiologischen Sektor erfährt besonders die Magnetresonanztomographie aktuell einen regelrechten KI-Hype. Kürzere Untersuchungszeiten, eine höhere Bildqualität oder eine Kombination aus Zeit und Qualität sind theoretisch möglich, doch ist die KI in der Praxis mehr als eine Spielerei? Wie aufwendig ist es diese in den Alltag der Medizinischen Technologen und Technologinnen zu integrieren? Beispiele für eine Qualitätssteigerung durch KI Beispiele für eine Beschleunigung durch die KI Patientenbenefits Erstellung und Umsetzung von neuen Protokollen nach dem Software-Update Grenzen der KI bei einer Feldstärke von 1,5 T KI IN DER RADIOLOGISCHEN KRANKENHAUSROUTINE Professor Dr. med. Harald Ittrich Die…
-
EUROECHO 2021 (Sonstiges | Online)
EUROECHO 2021 09.12.2021 – 11.12.2021Berlin / Online, Deutschland / World Wide Web Eventdatum: 09.12.21 – 11.12.21 Eventort: Online Firmenkontakt und Herausgeber der Eventbeschreibung: Canon Medical Systems GmbHHansemannstr. 6741468 NeussTelefon: +49 (2131) 1809-0Telefax: +49 (2131) 1809-139http://de.medical.canon Weiterführende Links Zum Event Originalinserat von Canon Medical Systems GmbH Alle Events von Canon Medical Systems GmbH Für das oben stehende Event ist allein der jeweils angegebene Herausgeber (siehe Firmenkontakt oben) verantwortlich. Dieser ist in der Regel auch Urheber der Eventbeschreibung, sowie der angehängten Bild-, Ton-, Video-, Medien- und Informationsmaterialien. Die United News Network GmbH übernimmt keine Haftung für die Korrektheit oder Vollständigkeit des dargestellten Events. Auch bei Übertragungsfehlern oder anderen Störungen haftet sie nur…
-
12. RHEINER SYMPOSIUM FÜR GYNÄKOLOGIE UND PERINATALMEDIZIN (Sonstiges | Rheine)
12. RHEINER SYMPOSIUM FÜR GYNÄKOLOGIE UND PERINATALMEDIZIN 20.11.2021Rheine, Deutschland Eventdatum: Samstag, 20. November 2021 08:00 – 18:00 Eventort: Rheine Firmenkontakt und Herausgeber der Eventbeschreibung: Canon Medical Systems GmbHHansemannstr. 6741468 NeussTelefon: +49 (2131) 1809-0Telefax: +49 (2131) 1809-139http://de.medical.canon Weiterführende Links Zum Event Originalinserat von Canon Medical Systems GmbH Alle Events von Canon Medical Systems GmbH Für das oben stehende Event ist allein der jeweils angegebene Herausgeber (siehe Firmenkontakt oben) verantwortlich. Dieser ist in der Regel auch Urheber der Eventbeschreibung, sowie der angehängten Bild-, Ton-, Video-, Medien- und Informationsmaterialien. Die United News Network GmbH übernimmt keine Haftung für die Korrektheit oder Vollständigkeit des dargestellten Events. Auch bei Übertragungsfehlern oder anderen Störungen haftet sie…





























